029 608 22 22
029 508 22 22
029 608 22 22
029 508 22 22
Актуальность 11%
Взято всего:
15809 промокодов из 15828
Взято сутки/месяц:
12 /214 промокодов
Просмотров сутки/месяц:
167/6075
До завершения:
Отзывы/оценка:
297 /
Стоимость:
- Получить промокод можно до 31.12, воспользоваться до 01.02.26
- Предварительная запись обязательна по телефону
- Бесплатная консультация врача-стоматолога-терапевта (при оказании нижеперечисленных услуг)
- Промокод дает право на скидку 50% на комплексную профессиональную гигиену и скидку 20% на офисное фотоотбеливание зубов по системе Amazing White Premium Teeth Whitening Kit 38% (США) в стоматологии "Народент"
- Стоимость комплекса профгигиены: 150 р. 300 р.
- покрытие зубов Tooth Mousse: 5 р. 10 р.
- Комплекс включает: ультразвук + чистка AirFlow + полировка щетками и пастой + покрытие фторлаком + консультация
- Стоимость фотоотбеливания (за две челюсти, зона улыбки): 250 р. 313 р.
- Один промокод - одна услуга для одного человека со скидкой.
- *Скидка на промокоды до 30% при пополнении баланса
- *Промокоды от 19 коп. по подписке
- На услуги возможно оформить подарочный сертификат. Правила приобретения и использования подарочного сертификата читайте ниже.
- Акция не обслуживается по картам рассрочки.
- Поставщик оставляет за собой право изменить цену, опубликовав ее заранее на сайте.
|
Профессиональная гигиена с использованием ультразвука включает в себя: - удаление твердых зубных отложений с помощью ультразвукового скейлера - полировка зубов профессиональной щеткой и пастой "Kerr super polish" - покрытие зубов фторосодержащим препаратом - метод рекомендован для удаления зубного камня |
![]() |
![]() |
Профессиональная гигиена с использованием технологии AirFlow включает в себя: - снятие пигментированного налета с применением порошкового метода AirFlow, при котором из специальногохэнди - бластера под давлением подается профессиональный мелкодисперсный порошок - полировка зубов профессиональной щеткой и пастой - покрытие зубов фторосодержащим препаратом - Использование технологии Air Flow позволяет удалить налет от чая, кофе, так называемый "налет курильщика". С твердыми зубными отложениями (зубной камень) AirFlow не справится |
Полный комплекс профессиональной гигиены полости рта включает в себя:
- удаление зубного камня ультразвуком
- удаление пигментированного налета с помощью AirFlow
- полировка зубов профессиональной щеткой и пастой "Kerr super polish"
- покрытие зубов фторосодержащим препаратом
| Фотоотбеливание зубов по системе Amazing White Premium Teeth Whitening Kit 38% (США) включает в себя: - перед процедурой отбеливания зубов необходимо проведение профессиональной гигиены - регистрация вашего цвета зубов - установка ретрактора для губ и щёк для их защиты - нанесение защитного геля для десны и его полимеризация - нанесение на поверхность зубов отбеливающего геля - активация геля с помощью фотополимеризационной лампы - тщательное удаление отбеливающего геля - нанесение специального защитного, реминерализующего геля |
![]() |
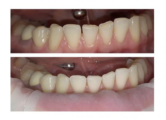
Фотоотбеливание по системе Amazing White Premium Teeth Whitening Kit 38% (США)

Правила приобретения и использования подарочного сертификата
- Подарочный сертификат - это документ, подтверждающий платеж за определенную услугу на определённую сумму и дающий право на последующее оказанию этой услуги.
- Сертификат не подлежит обмену на денежные средства.
- Сертификат действителен в течение 3-х месяцев со дня продажи.
- Сертификаты не являются именными и могут быть переданы третьим лицам.
- Для использования сертификата необходимо пройти предварительную запись.


![]() |
![]()
|
![]() |
![]()
|
![]() |
![]() |

Стоматология "Народент"

Мы всегда рады помочь: служба поддержки Slivki.by ответит на любой ваш вопрос











Введите код из письма
Создайте новый пароль
Используйте не менее 8 символов: латинские буквы, как минимум 1 заглавную букву, 1 строчную букву, 1 цифру и 1 специальный символ (!@#&-). Например: Gn111-999
Пароль отправлен на ваш электронный ящик
Поделиться с другом:
Статистика
Рейтинг акции
Глобальный
на сайте
В категории
В субкатегории
Оценки
Продажи всего
за сутки
за 30 дней
Продажи онлайн
за сутки
за 30 дней
Продажи по звонку
за сутки
за 30 дней
Просмотры
за сутки
за 30 дней
Актуальность продаж
за неделю
за 30 дней
Теперь вы можете не платить сами
Не имей 100 рублей, а имей 100 друзей!
😉
Чтобы покупать больше подарков себе, найдите, кто сможет вам их оплатить:
- тиндер-фильтр (массаж или маникюр)
- друг (обед)
- любовник (суши, спа)
- муж (мойка, шиномонтаж)
- родители (аквапарк, пицца, батуты)
- дети (суши, салон красоты)
Привяжите почту и объедините свои
аккаунты в один
Куки (англ. cookies) являются текстовым файлом, сохраненным в браузере компьютера (мобильного устройства) посетителей и пользователей платформы ЗАО «СЛИВКИ БАЙ» Slivki.by (далее – сайт) при его посещении для отражения совершенных действий.
Целью обработки куки является обеспечение удобства посетителей сайта и повышение качества его функционирования.
Файлы сookie могут собираться, систематизироваться, храниться, изменяться, использоваться, обезличиваться, блокироваться, удаляться с использованием средств автоматизации.
Cookie могут быть постоянными или временными. Постоянные cookie сохраняются на компьютере до тех пор, пока пользователь их не удалит (ЗАО «СЛИВКИ БАЙ» хранит их не более года). Временные действуют до тех пор, пока пользователь (посетитель) сайта не закроет браузер.
ЗАО «СЛИВКИ БАЙ» не использует куки для идентификации субъектов персональных данных.
Обработка аналитических и рекламных куки осуществляется уполномоченными лицами ЗАО «СЛИВКИ БАЙ»:
Яндекс Метрика – сервис веб-аналитики, предоставляемый ООО «Яндекс». Адрес: г. Москва, ул. Льва Толстого, д. 16, 119021. Политика конфиденциальности Яндекс – https://yandex.ru/legal/confidential/
Google Analytics – сервис веб-аналитики, предоставляемый компанией Google, Inc. Адрес: Google, Google Data Protection Office, 1600 Amphitheatre Pkwy, Mountain View, CA 94043, USA. Политика конфиденциальности Google – https://policies.google.com/privacy?hl=ru#infocollect.
Facebook Pixel – сервис ретаргетинга, предоставляемый компанией Meta Platforms, Inc. Адрес: 1 Hacker Way, Menlo Park, CA 94025, USA. Политика конфиденциальности Facebook – https://www.facebook.com/privacy/policy/.
TikTok Pixel – сервис аналитики, предоставляемый компанией TikTok Inc. Адрес: 5800 Bristol Parkway, Suite 100, Culver City, CA 90230, USA. Политика конфиденциальности TikTok – https://www.tiktok.com/legal/privacy-policy.
Трансграничная передача куки осуществляется при предоставлении посетителем сайта согласия на обработку куки следующему субъекту.
Обращаем внимание, что обработка куки осуществляется Google Analytics, Facebook Pixel, TikTok Pixel, зарегистрированными в США, которая не входит в перечень иностранных государств, являющихся сторонами Конвенции Совета Европы о защите физических лиц при автоматизированной обработке персональных данных, принятой в г. Страсбурге 28.01.1981 (далее – Конвенция) (приказ директора Национального центра защиты персональных данных Республики Беларусь от 15 ноября 2021 г. № 14 «О трансграничной передаче персональных данных»).
Страны, не подписавшие и не ратифицировавшие указанную выше Конвенцию, относятся к иностранным государствам, на территории которых не обеспечивается надлежащий уровень защиты прав субъектов персональных данных.
В связи с чем ЗАО «СЛИВКИ БАЙ» в соответствии с требованиями законодательства информирует о возможных рисках, связанных с необеспечением надлежащих способов защиты персональных данных от несанкционированного или случайного доступа к ним, изменения, блокирования, удаления, предоставления, распространения, совершения иных неправомерных действий в отношении предоставляемых персональных данных в странах, куда такие данные передаются.
При желании, пользователь может отказаться от использования cookie-файлов Google Analytics, Яндекс Метрика для отслеживания вашей активности на всех веб-сайтах, пройдя по следующий ссылкам: http://tools.google.com/dlpage/gaoptout, https://yandex.ru/support/metrica/general/opt-out.html.
Обрабатываемые на сайте куки и сроки их хранения:
– настройка куки (технические) хранятся не более года;
– функциональные куки, часть из которых хранятся во время пользования сайтом, а остальные не более суток;
– необходимые для функционирования веб-аналитической платформы (аналитические), часть из которых хранятся во время пользования сайтом, а остальные не более года;
– рекламные куки, часть из которых хранятся во время пользования сайтом, а остальные не более года;
Отключение и ограничение использования куки
Посетители сайта могут принять или отклонить все обрабатываемые на сайте куки, кроме необходимых.
Куки необходимы для полноценного использования сайта. При отключении cookie некоторые функции станут недоступны.
Отключение функциональных куки может привести к ограничению пользователя в доступе к определенным функциональным возможностям сайта.
Отключение аналитических куки не позволяет определять предпочтения посетителей сайта, в том числе наиболее и наименее популярные страницы и принимать меры по совершенствованию работы сайта исходя из предпочтений пользователей.
Отключение рекламных куки может привести к показу менее релевантной рекламы, не соответствующей вашим интересам.
Посетитель может отказаться от использования куки на сайте, отключив их в настройках браузера.
По окончании сроков хранения куки и повторном посещений сайта у посетителя сайта снова запрашивается согласие на обработку куки.
Вместе с тем посетители сайта вправе изменить свой выбор настроек куки (в том числе отозвать согласие) в любое время в интерфейсе сайта путем перехода по ссылке настоящей политики.
Помимо настроек куки на сайте посетители сайта могут принять или отклонить сбор всех или некоторых куки в настройках своего браузера.
При этом некоторые браузеры позволяют посещать интернет-сайты в режиме ”инкогнито“, чтобы ограничить хранимый на компьютере объем информации и автоматически удалять сессионные куки. Кроме того, субъект персональных данных может удалить ранее сохраненные куки выбрав соответствующую опцию в истории браузера.
Подробнее с параметрами управления куки можно ознакомиться, перейдя по внешним ссылкам, ведущим на соответствующие страницы сайтов основных браузеров:
– Chrome https://support.google.com/chrome/answer/95647?hl=ru
– Safari https://support.apple.com/ru-ru/guide/safari/sfri11471/mac
– Opera https://help.opera.com/ru/latest/web-preferences/
– Microsoft Edge https://support.microsoft.com/ru-ru/microsoft-edge/

Отзывы (297)
★5
Фотографии пользователей: